bombombom
@bombombom
ตอนนี้ยังไม่มีคำขอเป็นเพื่อน
มีเพื่อนๆ เล่น My.iD อีกเยอะเลย ลองไปดูกันเถอะ
dummyaliasname
@dummyusername
dummymsg
ตอนนี้ยังไม่มีข้อความลับ
ตอนนี้ยังไม่มีการแจ้งเตือน
เล่าเรื่องราวของคุณหรือสิ่งที่สนใจผ่านการตั้งกระทู้ ถ้ามีเพื่อนๆ มาตอบจะได้รับการแจ้งเตือนด้วยนะ
เพียงแค่ 3 ขั้นตอนง่ายๆ เพื่อรับแจ้งเตือนบทความมาใหม่ในหมวดที่คุณสนใจ
ตอนนี้ได้ติดตามบทความเรียบร้อย
เมื่อบทความที่ติดตามอัปเดตจะแจ้งเตือนทันที ขอให้สนุกกับการอ่านบทความนะครับ
คุณยังไม่ได้ตั้งรหัสผ่านในบัญชีของคุณ
ตั้งรหัสผ่านตอนนี้เพื่อให้สามารถเข้าสู่ระบบด้วยรหัสผ่านได้
คุณยังไม่ได้ตั้ง Username และ Password บัญชีของคุณ
สามารถทำได้ที่ “หน้าแก้ไขโพรไฟล์”
หน้าหลัก
ควิซแนะนำ
ควิซโซเชียล
ควิซทายใจ
ควิซทดสอบ
ควิซทางเลือก
ประวัติแข่งควิซ
สร้างควิซใหม่
Visual Novel
แต่ง Visual Novel
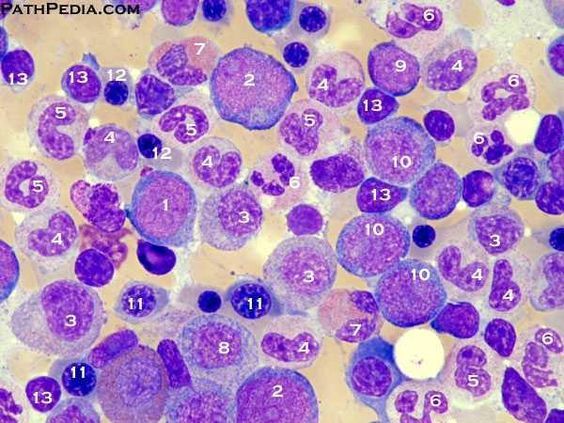
รูปไขกระดูก (Bone marrow)
ควิซนี้เป็นข้อมูลที่ตั้งโดยผู้ใช้งานของเว็บไซต์ Dek-D.com หากพบเห็นข้อมูลที่ไม่เหมาะสม โปรดแจ้ง webmaster@dek-d.com www.Dek-D.com ©1999-2026; All rights reserved by Dek-D Interactive Co.,Ltd.