Dek-D.com ใช้คุกกี้เพื่อพัฒนาประสบการณ์ของ
ผู้ใช้ให้ดียิ่งขึ้น เรียนรู้เพิ่มเติมที่นี่
ยอมรับ

วัดเลเวลความเป็นนักเทคนิคการสัตวแพทย์ Part I

โดย: Kritnaphat Sn

ทดสอบความรู้ทางเทคนิคการสัตวแพทย์ เกี่ยวกับโลหิตวิทยา ปรสิตในเลือด ปัสสาวะ และอื่นๆ

ในแต่ละข้อ คุณมีเวลาในการตอบคำถาม
ชั่วโมง นาที วินาที
00 00 59

ควิซทดสอบนี้มีการจำกัดเวลา
เมื่อเริ่มทดสอบแล้วจะไม่สามารถหยุดเวลาได้

กด "Like" เพื่อติดตามควิซเด็ดน่าเล่น
Dek-D's Quiz
กำลังคำนวณผลลัพธ์
0/10
1 จากรูปที่เห็น จงเลือกคำตอบมา ว่าเป็นเลือดของสัตว์ชนิดใด
2 จากรูป ปรสิตที่เห็นนั้นมีชื่อว่าอย่างไร
3 จากรูป ปรสิตที่เห็นนั้นมีชื่อว่าอย่างไร
4 จากรูป ปรสิตที่เห็นนั้นมีชื่อว่าอย่างไร
5 จากรูป ปรสิตที่เห็นนั้นมีชื่อว่าอย่างไร
6 จากรูป ปรสิตที่เห็นนั้นมีชื่อว่าอย่างไร
7 จากรูป สิ่งที่เห็นว่าเป็นลักษณะเส้นยาวๆ หยึกหยัก สีชมพูนั้น เรียกว่าอะไร
8 จากรูป เซลล์ที่เห็น (เม็ดตรงกลาง) มีชื่อเรียกว่า อย่างไร
9 จากรูป crystal ที่เห็นมีชื่อว่าอย่างไร
10 จากรูป เซลล์ที่เห็นว่ามีลักษณะ ขนาดและนิวเคลียสใหญ่ๆ ตามรูปนั้น มีชื่อเรียกว่า อย่างไร
11 จากรูป crystals ที่เห็นนั้น มีชื่อเรียกว่าอย่างไร
12 จากรูปที่เห็นเป็นการเก็บตัวอย่างจากผิวหนังด้วย Scotchtape technique ขอถามว่า สิ่งที่ลูกศรสีขาวชี้ คืออะไร
13 จากรูป มีพยาธิเม็ดเลือดกี่ชนิด
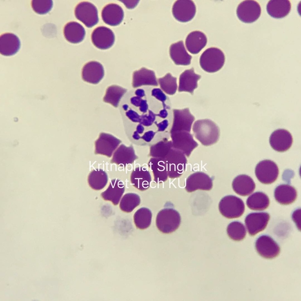
14 จากรูป เม็ดเลือดขาวที่เห็นเรียกว่าอะไร
15 จากรูป คุณเห็นสิ่งใด
16 จากรูป สิ่งที่ลูกศรสีแดงชี้อยู่นั้น คืออะไร
17 จากรูป (เม็ดเลือดขาว)ด้านขวามือ มีชื่อเรียกว่าอะไร
โอ้โห เก่งมากๆ ห้ะ! แค่นี้ก็ไม่รู้หรอ
คะแนน

0
จบควิซ หมดเวลาตอบคำถาม
ชั่วโมง นาที วินาที
00 00 00

คุณไม่สามารถตอบคำถาม
หรือแก้ไขคำตอบได้หลังจากหมดเวลา

คุณตอบไม่ทัน!
กดปุ่มด้านล่างเพื่อเล่นข้อถัดไป