Dek-D.com ใช้คุกกี้เพื่อพัฒนาประสบการณ์ของ
ผู้ใช้ให้ดียิ่งขึ้น เรียนรู้เพิ่มเติมที่นี่
ยอมรับ

Respiratory test

โดย: bankaltis

แบบทดสอบเรื่อง การพยาบาลผู้ป่วยระบบทางเดินหายใจ เพื่อทดสอบความรู้ของตนเอง

ในแต่ละข้อ คุณมีเวลาในการตอบคำถาม
ชั่วโมง นาที วินาที
00 00 45

ควิซทดสอบนี้มีการจำกัดเวลา
เมื่อเริ่มทดสอบแล้วจะไม่สามารถหยุดเวลาได้

กด "Like" เพื่อติดตามควิซเด็ดน่าเล่น
Dek-D's Quiz
กำลังคำนวณผลลัพธ์
0/10
1 ค่าปกติของ Oxygen saturation คือ
2 ข้อใด ไม่ใช่ อาการและอาการแสดงของผู้ป่วย Bronchitis 
3 การตรวจร่างกาย ผู้ป่วย  Bronchitis จะพบความผิดปกติใด
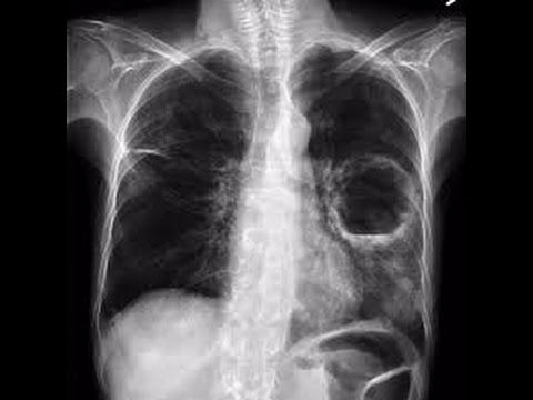
4 จากรูปนี้ ผู้ป่วยรายนี้น่าจะมีภาวะใด
5 ผู้ป่วยที่มีปัญหาเรื่องการกลืนอาหาร และเป็นอัมพาต เสี่ยงต่อ ภาวะ Pnuemonia ชนิดใด
6 จากรูป ผู้ป่วย Pneumonia จะตรวจพบความผิดปกติใด
7 จากรูป  จะส่งผลให้ผู้ป่วยเกิดภาวะใดตามมา
8 ความผิดปกติจากการตรวจร่างกาย ในข้อใดที่ ไม่พบ ในผู้ป่วยรายนี้
9 การรักษาผู้ป่วยรายนี้ คือ
10 การพยาบาลผู้ป่วยที่ได้รับการใส่ intercostal drainage คือข้อใดไม่ถูกต้อง
โอ้โห เก่งมากๆ ห้ะ! แค่นี้ก็ไม่รู้หรอ
คะแนน

0
จบควิซ หมดเวลาตอบคำถาม
ชั่วโมง นาที วินาที
00 00 00

คุณไม่สามารถตอบคำถาม
หรือแก้ไขคำตอบได้หลังจากหมดเวลา

คุณตอบไม่ทัน!
กดปุ่มด้านล่างเพื่อเล่นข้อถัดไป