Dek-D.com ใช้คุกกี้เพื่อพัฒนาประสบการณ์ของ
ผู้ใช้ให้ดียิ่งขึ้น เรียนรู้เพิ่มเติมที่นี่
ยอมรับ

ตะกอน(ปัสสาวะ)เสี่ยงทาย!!

โดย: fame Bappib55

เพื่อทดสอบความรู้ของคุณสำหรับการวินิจฉัยตะกอนปัสสาวะภายใต้กล้องจุลทรรศน์

ในแต่ละข้อ คุณมีเวลาในการตอบคำถาม
ชั่วโมง นาที วินาที
00 00 50

ควิซทดสอบนี้มีการจำกัดเวลา
เมื่อเริ่มทดสอบแล้วจะไม่สามารถหยุดเวลาได้

กด "Like" เพื่อติดตามควิซเด็ดน่าเล่น
Dek-D's Quiz
กำลังคำนวณผลลัพธ์
0/10
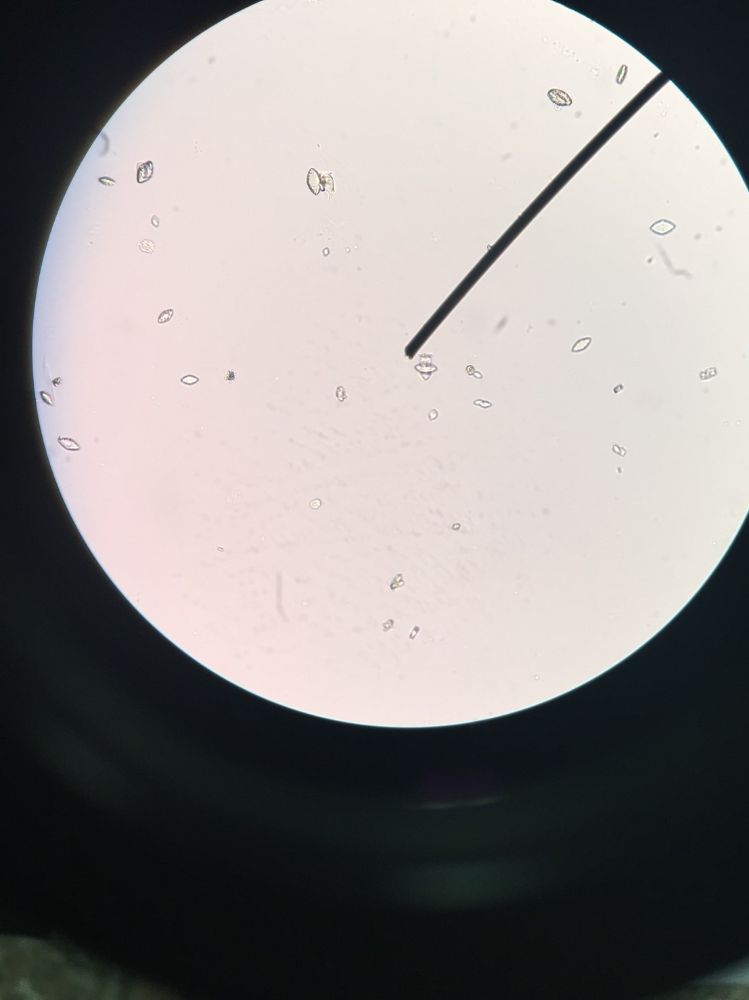
1 จากภาพ บ่งบอกถึงตะกอนชนิดใด?
2  หากพบ waxy cast สัมพันธ์กับโรค/ความผิดปกติใด?
3 จากภาพ ข้อใดคือ Waxy cast?
4 จากภาพ คือตะกอนอะไร?
5 ในโรค ​Acute glomerulonephritis ผู้ป่วยมักพบตะกอนชนิดใดร่วมด้วย?
6 จากภาพ ข้อใดคือ Triple phosphate crystal?
7 ​จากภาพ บ่งบอกถึงตะกอนชนิดใด?
8 ​จากภาพ บ่งบอกถึงตะกอนชนิดใด?
9 จากภาพ ข้อใดคือ Coarsely granular cast?
10 ตะกอนในภาพ สัมพันธ์กับภาวะ/โรคใดมากที่สุด?
โอ้โห เก่งมากๆ ห้ะ! แค่นี้ก็ไม่รู้หรอ
คะแนน

0
จบควิซ หมดเวลาตอบคำถาม
ชั่วโมง นาที วินาที
00 00 00

คุณไม่สามารถตอบคำถาม
หรือแก้ไขคำตอบได้หลังจากหมดเวลา

คุณตอบไม่ทัน!
กดปุ่มด้านล่างเพื่อเล่นข้อถัดไป