Dek-D.com ใช้คุกกี้เพื่อพัฒนาประสบการณ์ของ
ผู้ใช้ให้ดียิ่งขึ้น เรียนรู้เพิ่มเติมที่นี่
ยอมรับ

medical protozoa 2019

โดย: Mono Snimp

การเขียนคำตอบอิงตามชื่อในใบประกอบของชั่วโมง Lab
แต่ละข้อมีเวลา 40 วินาที

หากมี specific epithet ให้เขียนด้วย
หากเป็น spp. หรือ sp. ไม่ต้องเขียน

ทำผิดถูกยังไงแนะนำด้วยเน่อ คนเก่งงง
ตอนสอบจริงอย่าลืมขีดเส้นใต้ด้วยนะ รักรัก >1w1<

biccoro

ในแต่ละข้อ คุณมีเวลาในการตอบคำถาม
ชั่วโมง นาที วินาที
00 00 40

ควิซทดสอบนี้มีการจำกัดเวลา
เมื่อเริ่มทดสอบแล้วจะไม่สามารถหยุดเวลาได้

กด "Like" เพื่อติดตามควิซเด็ดน่าเล่น
Dek-D's Quiz
กำลังคำนวณผลลัพธ์
0/10
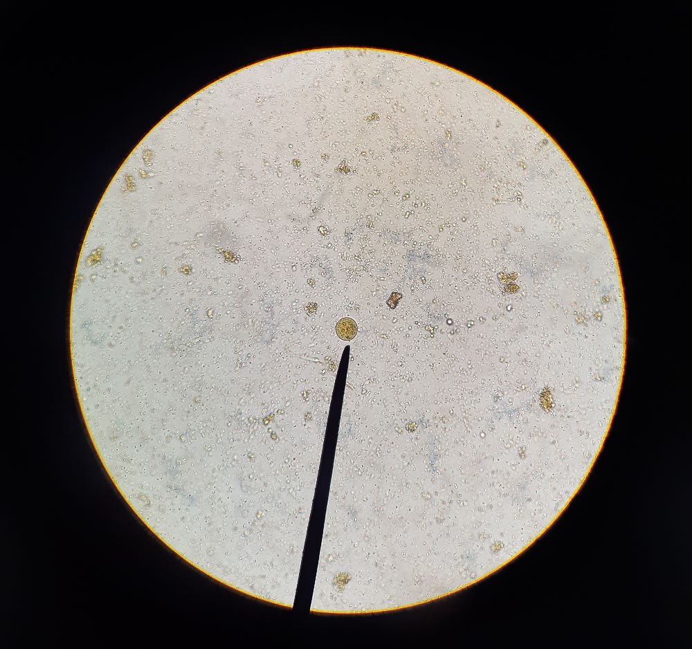
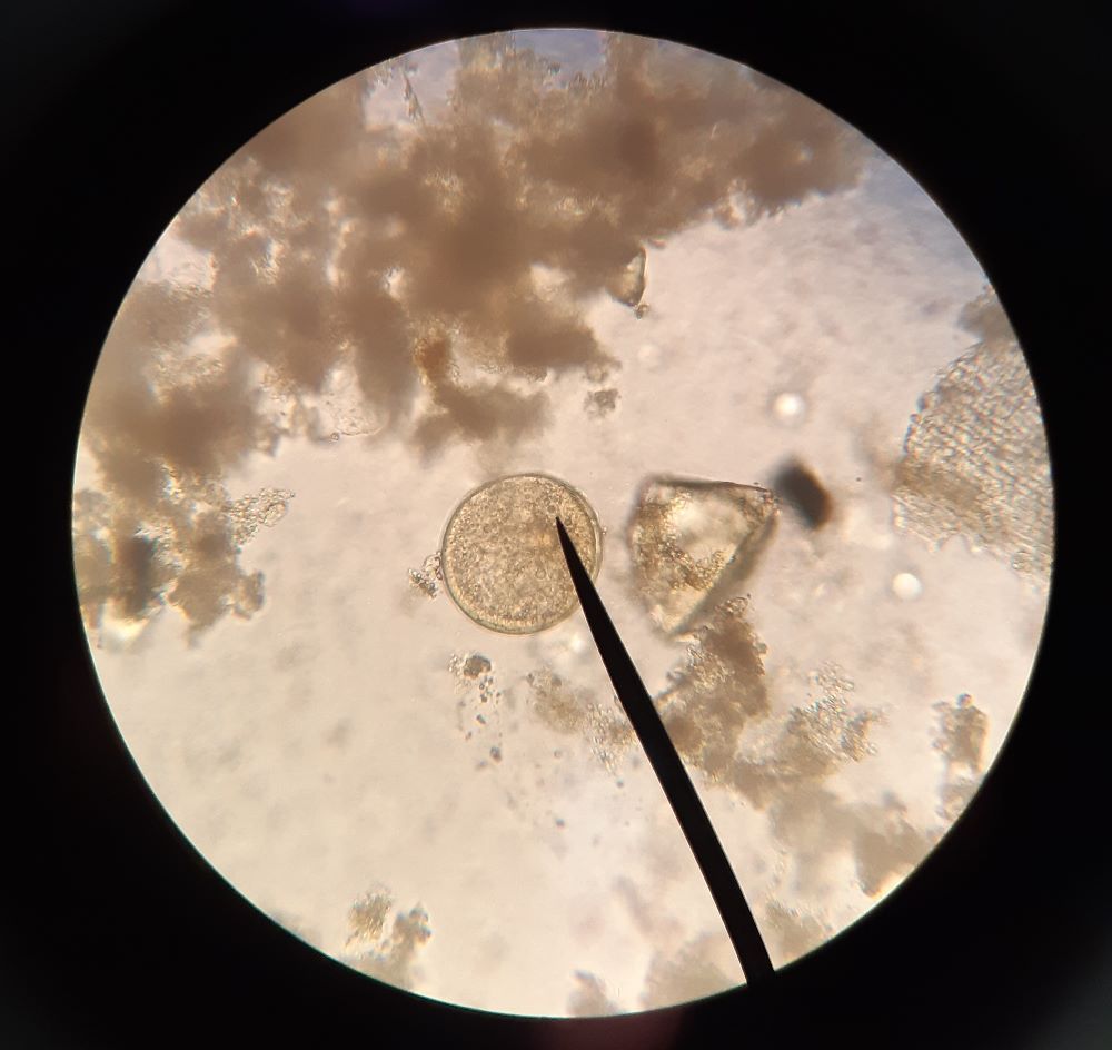
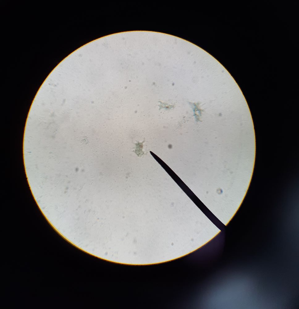
13 what stage is this
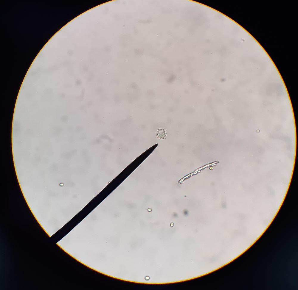
17 which stage is this
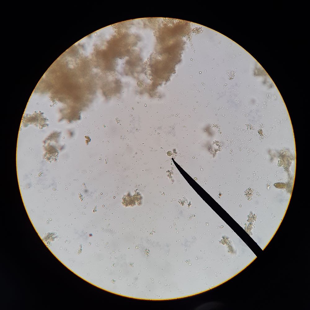
22 which stage is this
26 we found X's dots in this infected RBC. what does X stand for? (คือคำว่าอะไร)
27 we found X's dots in this infected RBC. what does X stand for? (คือคำว่าอะไร)
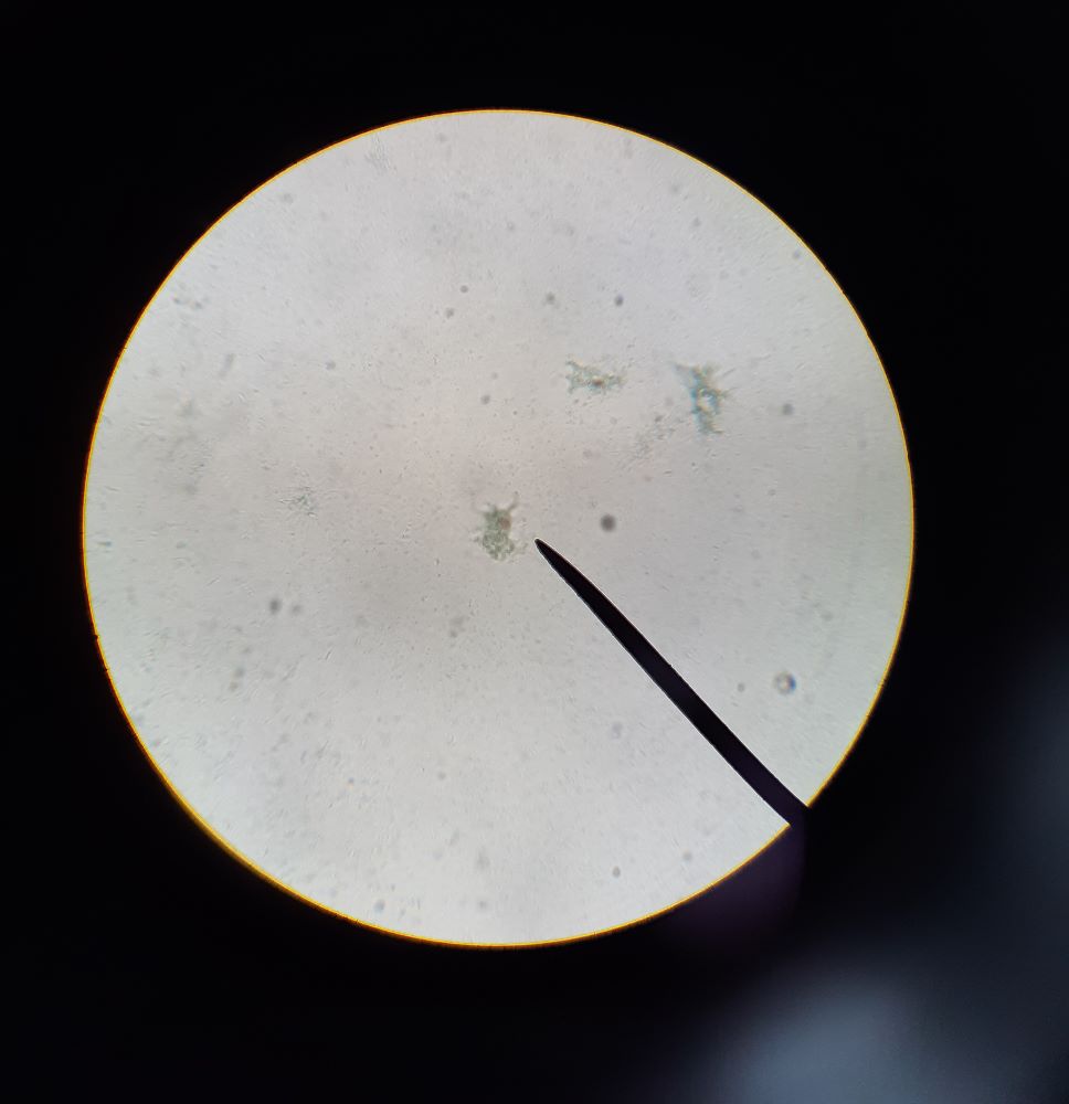
28 which stage is this
โอ้โห เก่งมากๆ ห้ะ! แค่นี้ก็ไม่รู้หรอ
คะแนน

0
จบควิซ หมดเวลาตอบคำถาม
ชั่วโมง นาที วินาที
00 00 00

คุณไม่สามารถตอบคำถาม
หรือแก้ไขคำตอบได้หลังจากหมดเวลา

คุณตอบไม่ทัน!
กดปุ่มด้านล่างเพื่อเล่นข้อถัดไป