Dek-D.com ใช้คุกกี้เพื่อพัฒนาประสบการณ์ของ
ผู้ใช้ให้ดียิ่งขึ้น เรียนรู้เพิ่มเติมที่นี่
ยอมรับ

Lab simulation test : Parasites 2019

โดย: Mono Snimp

ข้อสอบมีทั้งหมด 30 ข้อ
แต่ละข้อมีเวลา 30 วินาที
(สอบจริงอาจข้อละ 1 นาที แต่มี 2 ข้อย่อย)

หากมี specific epithet ให้เขียนแบบไม่ย่อ
หากเป็น spp. หรือ sp. ไม่ต้องเขียน สอบจริงอาจเขียน
ผิดถูกตรงไหนแนะมาได้นะ

สู้นะต้าวพวกตาขีด ๑>w<๑

biccoro

ในแต่ละข้อ คุณมีเวลาในการตอบคำถาม
ชั่วโมง นาที วินาที
00 00 30

ควิซทดสอบนี้มีการจำกัดเวลา
เมื่อเริ่มทดสอบแล้วจะไม่สามารถหยุดเวลาได้

กด "Like" เพื่อติดตามควิซเด็ดน่าเล่น
Dek-D's Quiz
กำลังคำนวณผลลัพธ์
0/10
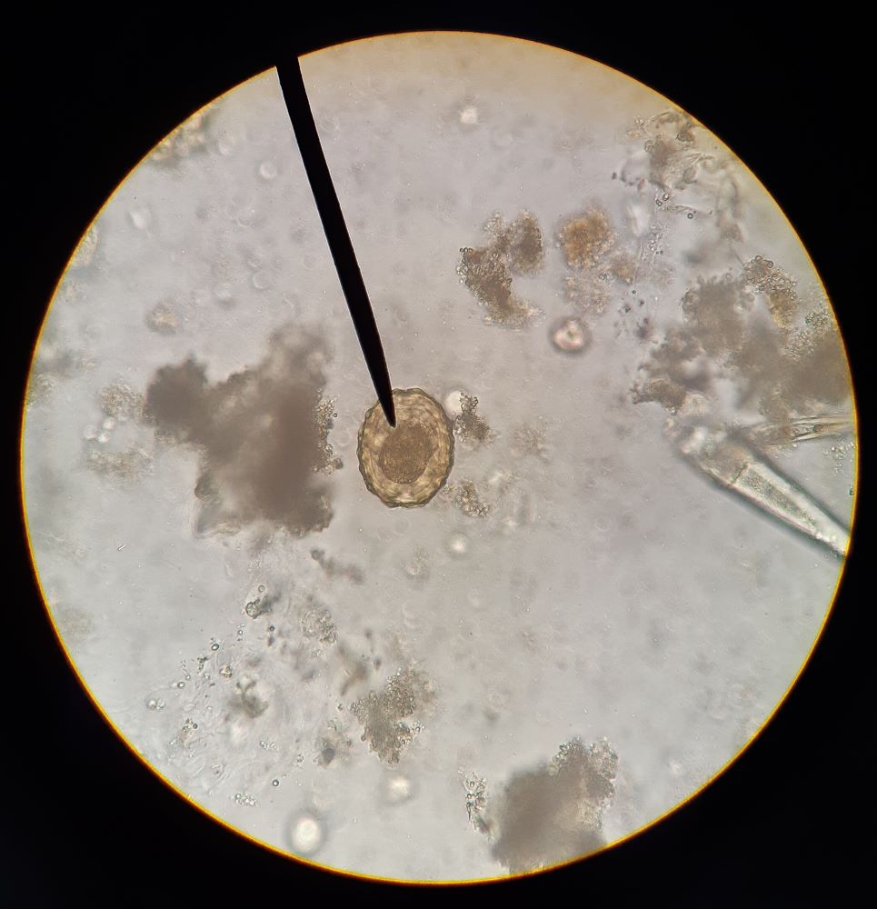
1 Give scientific name of this
2 what is locomotive structure of this
3 Give scientific name of this
4 which stage is this organism 
5 Give scientific name of this
6 which stage is this organism 
7 HIV patient's stool dyed by special technic is shown in the picture. Give scientific name of this   
8 which stage is this organism 
9 Give scientific name of this  
10 which body part is its habitat 
11 Give scientific name of this (picture shows middle part of its body) 
12 this organism has 2 'A' arranged in 'B' position and has 'C' shape. what is 'A B C' respectively (space for each answer, answer example : meyou pawana paikon) 
13 Give scientific name of this (picture shows posterior part of its body) 
14 this organism has 2 'A' in 'B' shape. what is 'A B' respectively (space for each answer, answer example : meyou pawana) 
15 Give scientific name of this (give only genus)
16 this organism is in 'A' stage of morphology, it has wide and distinctive 'B'. what is 'A B' respectively (space for each answer, answer example : meyou pawana) 
17 Give scientific name of this (give only genus)
18 this egg contains 'A' (larva developed from egg) which has 'B' (number) hooks. what is 'A B' respectively (space for each answer, answer example : pawana 14, pawana 5) 
19 Give scientific name of this
20 this organism form is sometimes called cysticercus 'A', it is T. solium, it has rostellar 'B' around scolex. what is 'A B' respectively (answer example : biccoro fasuru) ​
21 Give scientific name of this
22 Give scientific name of this
23 Give scientific name of this
24 Give scientific name of this
25 Give scientific name of this
26 Give scientific name of this
27 Give scientific name of this
28 Give scientific name of this
29 Give scientific name of this
30 Give scientific name of this
โอ้โห เก่งมากๆ ห้ะ! แค่นี้ก็ไม่รู้หรอ
คะแนน

0
จบควิซ หมดเวลาตอบคำถาม
ชั่วโมง นาที วินาที
00 00 00

คุณไม่สามารถตอบคำถาม
หรือแก้ไขคำตอบได้หลังจากหมดเวลา

คุณตอบไม่ทัน!
กดปุ่มด้านล่างเพื่อเล่นข้อถัดไป