Dek-D.com ใช้คุกกี้เพื่อพัฒนาประสบการณ์ของ
ผู้ใช้ให้ดียิ่งขึ้น เรียนรู้เพิ่มเติมที่นี่
ยอมรับ

medical trematode cestode acanthocephalan 2019

โดย: Mono Snimp

การเขียนคำตอบอิงตามชื่อในใบประกอบของชั่วโมง Lab
แต่ละข้อมีเวลา 40 วินาที

หากมี specific epithet ให้เขียนด้วย
หากเป็น spp. หรือ sp. ไม่ต้องเขียน

ทำผิดถูกยังไงแนะนำด้วยเน่อ หมูน้อย
ตอนสอบจริงอย่าลืมขีดเส้นใต้ด้วยนะ มูแง้มม เ >q< เ

กำหนด stool exam มาจากชาวอีสานไม่เคยออกนอกเขตอีสาน

biccoro

ในแต่ละข้อ คุณมีเวลาในการตอบคำถาม
ชั่วโมง นาที วินาที
00 00 40

ควิซทดสอบนี้มีการจำกัดเวลา
เมื่อเริ่มทดสอบแล้วจะไม่สามารถหยุดเวลาได้

กด "Like" เพื่อติดตามควิซเด็ดน่าเล่น
Dek-D's Quiz
กำลังคำนวณผลลัพธ์
0/10
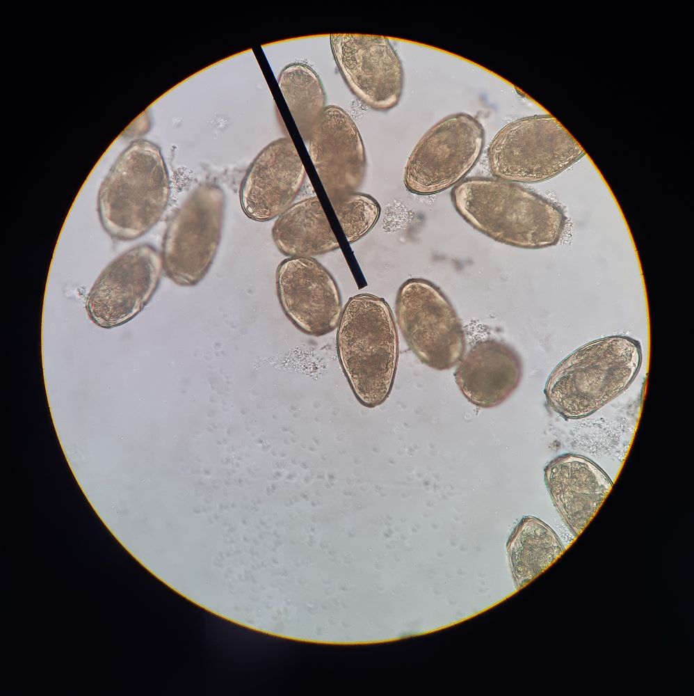
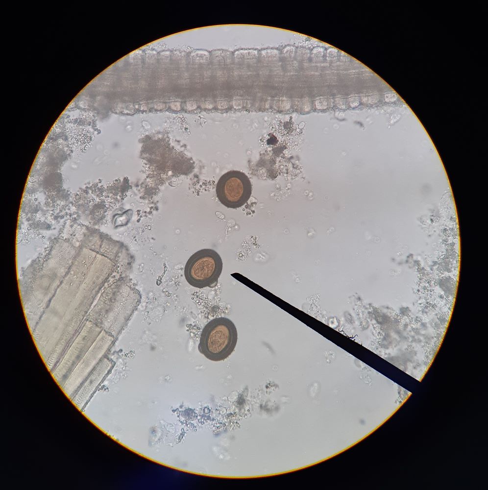
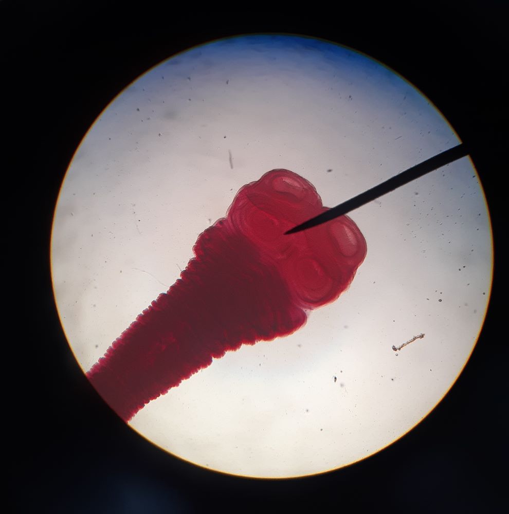
1 Give scientific name of this
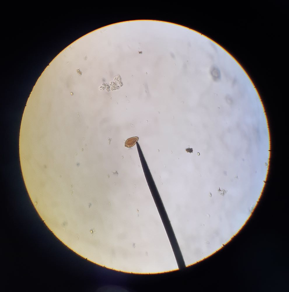
2 Give scientific name of this
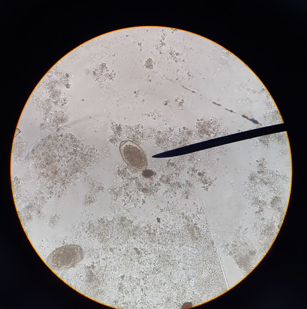
3 Give scientific name of thisname this
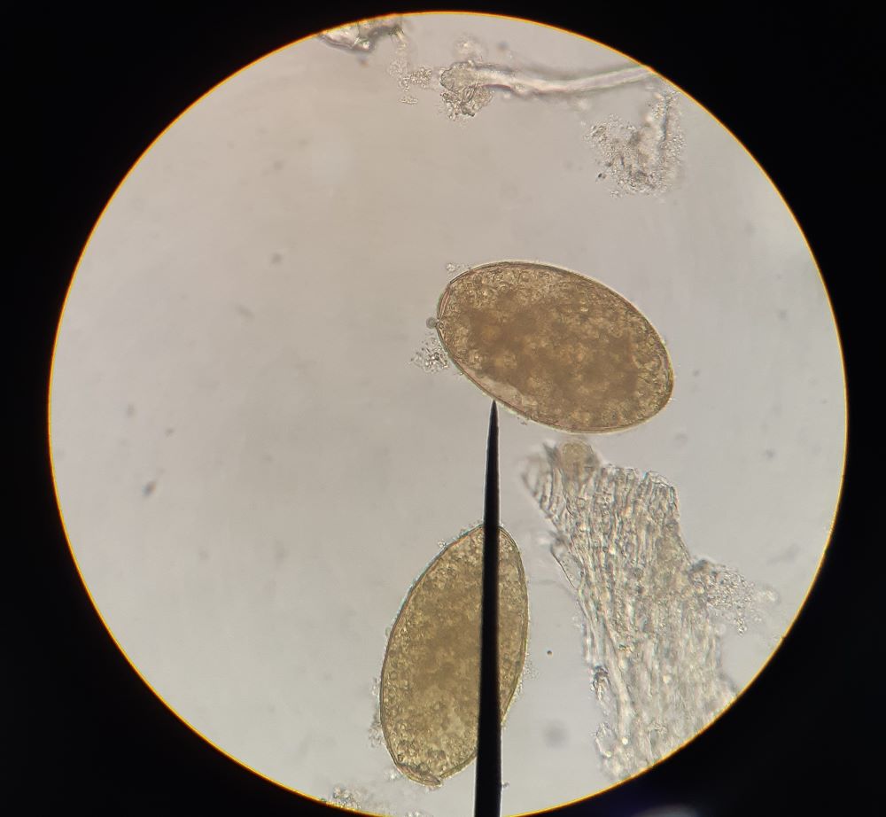
4 Give scientific name of this
5 Give scientific name of this
6 Give scientific name of this
7 Give scientific name of this
8 Give scientific name of this
9 Give scientific name of this
10 Give scientific name of this
11 Give scientific name of this
12 Give scientific name of this
13 Give scientific name of this
14 Give scientific name of this
15 Give scientific name of this
16 Give scientific name of this
17 Give scientific name of this
18 Give scientific name of this
19 Give scientific name of this
20 Give scientific name of this (only genus)
21 Give scientific name of this
22 Give the stage name of this genus if they are found in cow
23 Give scientific name of this
24 Give scientific name of this
25 Give scientific name of this
26 Give scientific name of this
27 Give scientific name of this
28 what is the infective stage of this parasite
29 what is the infective stage of this parasite
30 if its egg has lateral spine, what 'specific epithet' could this parasite have
32 what is true about metacercaria stage of this parasite
33 which stage of larva is in this egg 
34 what is reservoir host and secondary host of this parasite respectively
36 If I found this larva stage of this parasite in copepod, what stage could likely be
37 what stage of larva is in this egg
38 Give scientific name of this
39 Give scientific name of this
40 Give scientific name of this
โอ้โห เก่งมากๆ ห้ะ! แค่นี้ก็ไม่รู้หรอ
คะแนน

0
จบควิซ หมดเวลาตอบคำถาม
ชั่วโมง นาที วินาที
00 00 00

คุณไม่สามารถตอบคำถาม
หรือแก้ไขคำตอบได้หลังจากหมดเวลา

คุณตอบไม่ทัน!
กดปุ่มด้านล่างเพื่อเล่นข้อถัดไป