Dek-D.com ใช้คุกกี้เพื่อพัฒนาประสบการณ์ของ
ผู้ใช้ให้ดียิ่งขึ้น เรียนรู้เพิ่มเติมที่นี่
ยอมรับ

medical nematode 2019

โดย: Mono Snimp

การเขียนคำตอบอิงตามชื่อในใบประกอบของชั่วโมง Lab
แต่ละข้อมีเวลา 40 วินาที

หากมี specific epithet ให้เขียนด้วย
หากเป็น spp. หรือ sp. ไม่ต้องเขียน

ทำผิดถูกยังไงแนะนำด้วยเน่อ
ตอนสอบจริงอย่าลืมขีดเส้นใต้ด้วยนะ

เพื่อแกนะ จมุยจมุย ''0''9''0''

biccoro

ในแต่ละข้อ คุณมีเวลาในการตอบคำถาม
ชั่วโมง นาที วินาที
00 00 40

ควิซทดสอบนี้มีการจำกัดเวลา
เมื่อเริ่มทดสอบแล้วจะไม่สามารถหยุดเวลาได้

กด "Like" เพื่อติดตามควิซเด็ดน่าเล่น
Dek-D's Quiz
กำลังคำนวณผลลัพธ์
0/10
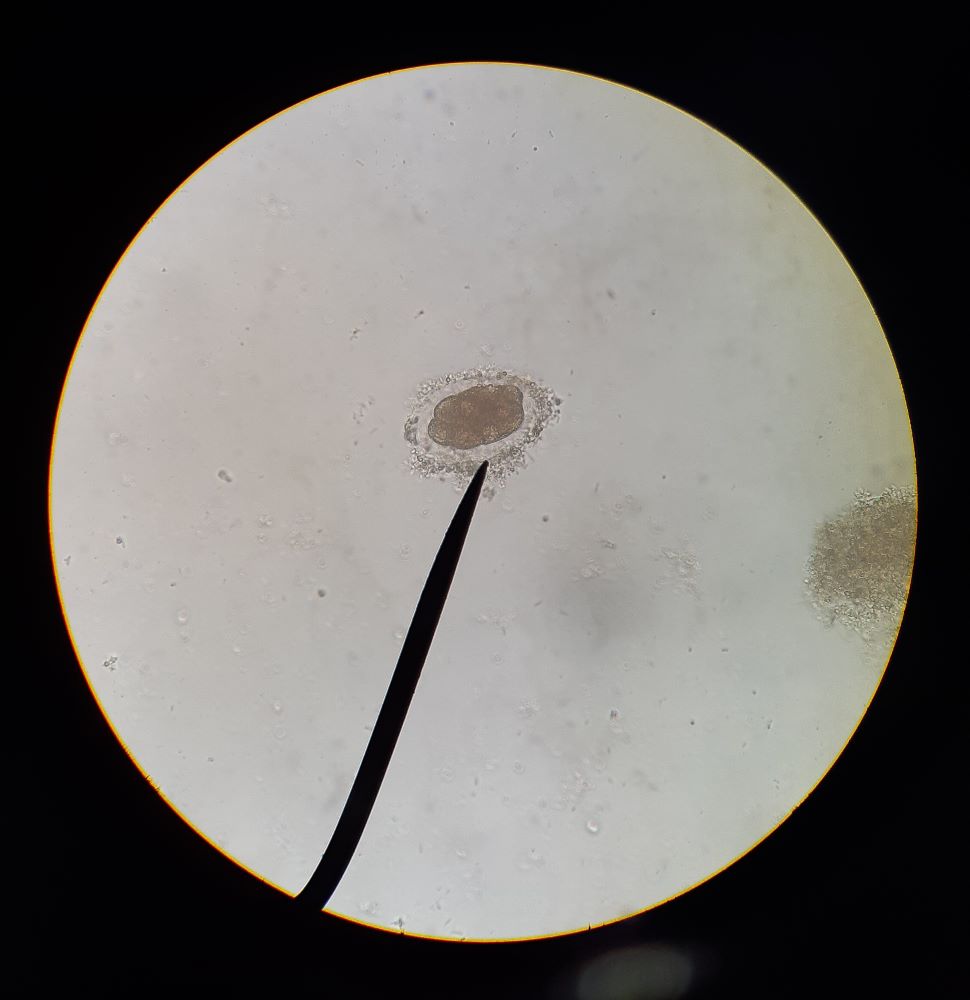
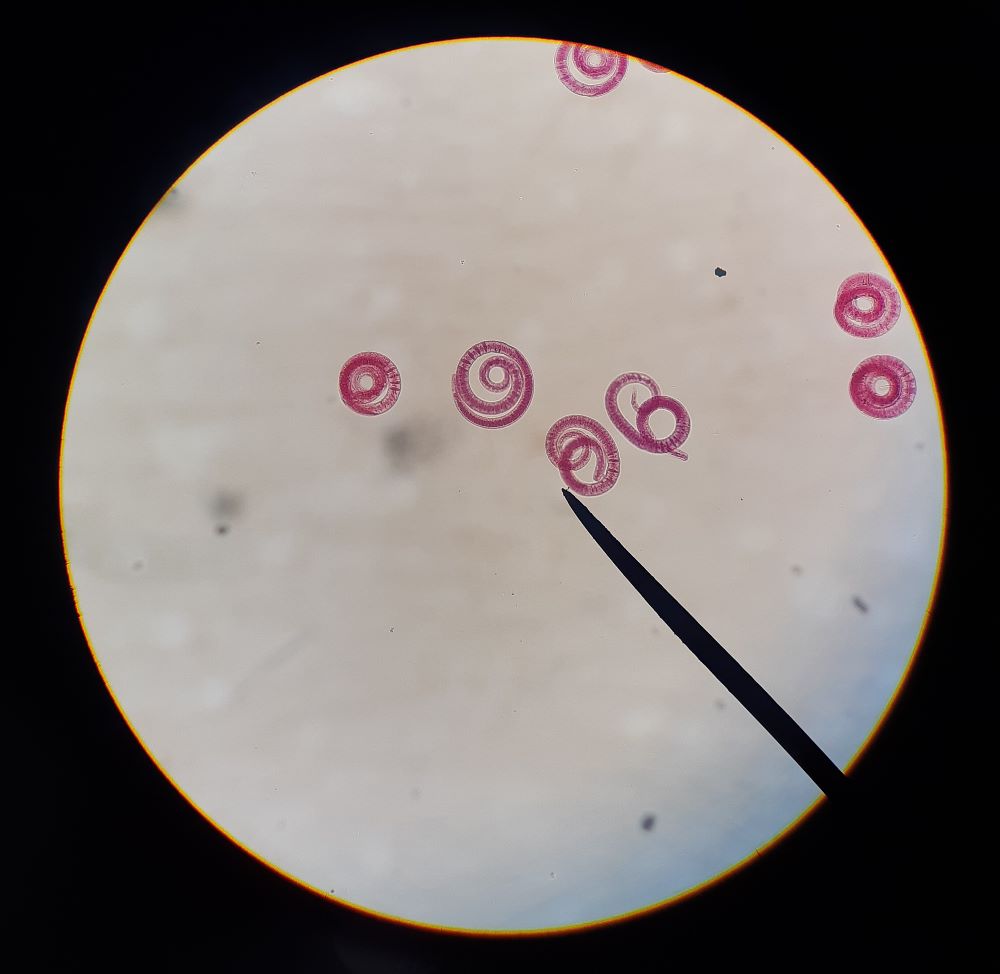
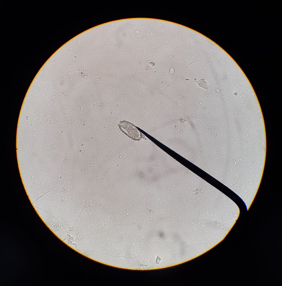
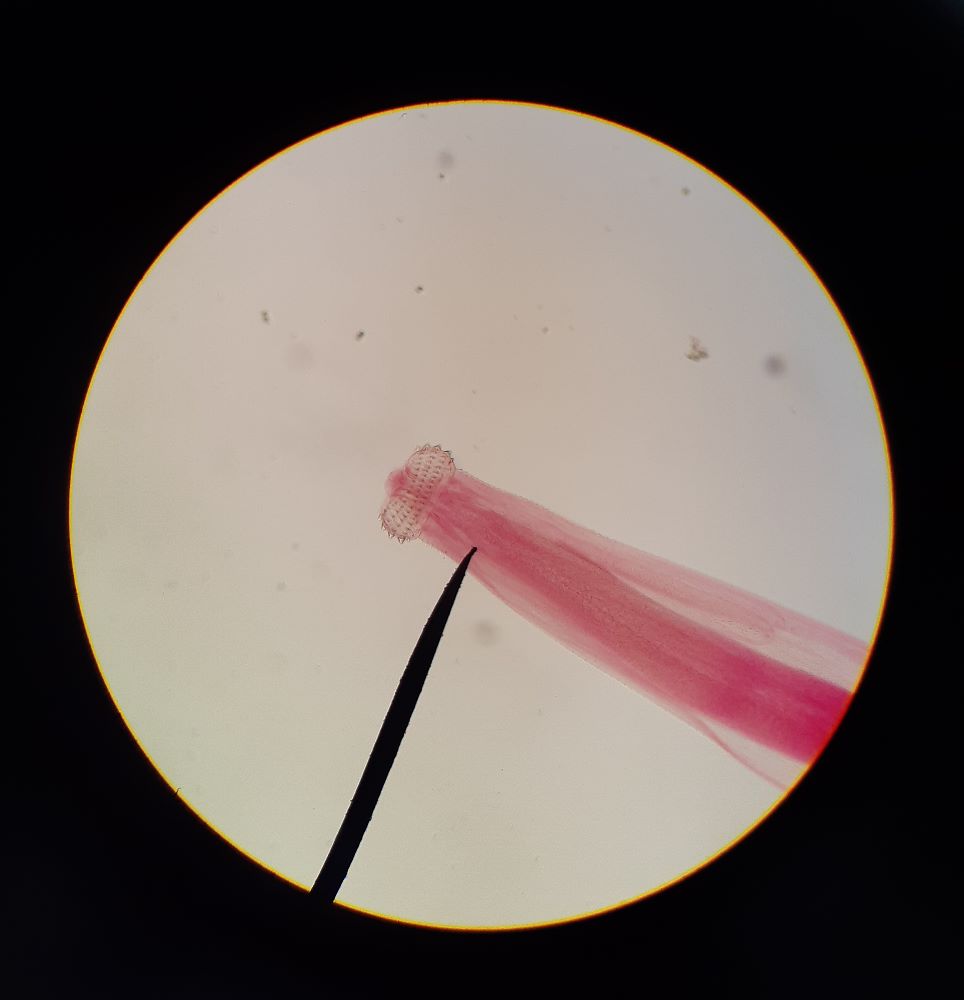
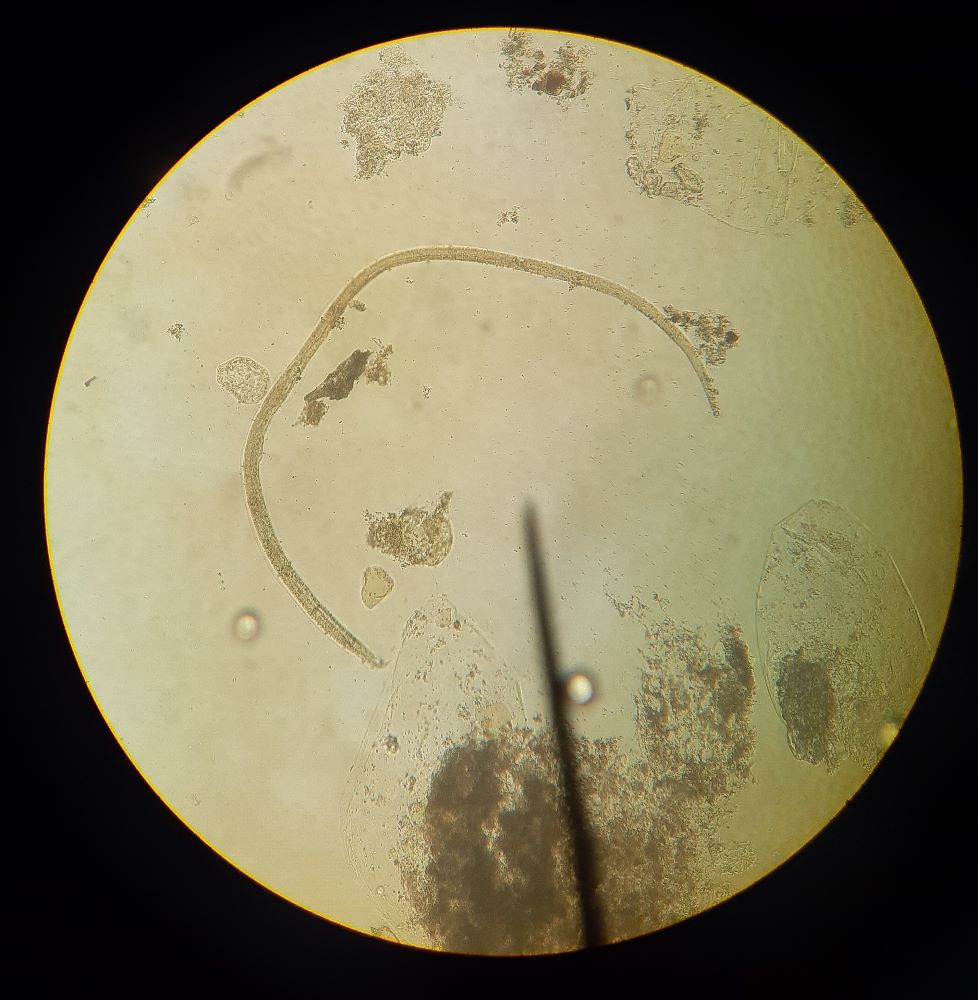
1 Give scientific name of this parasite
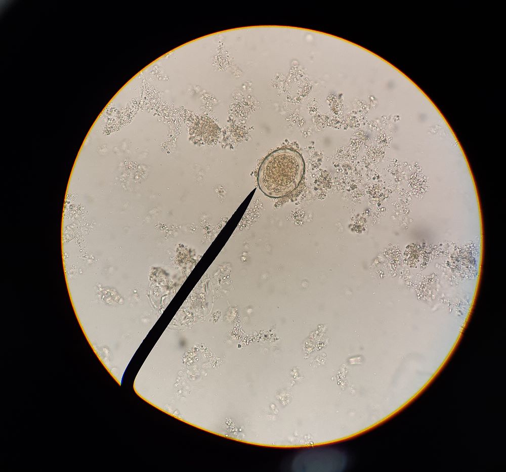
2 Give scientific name of this parasite
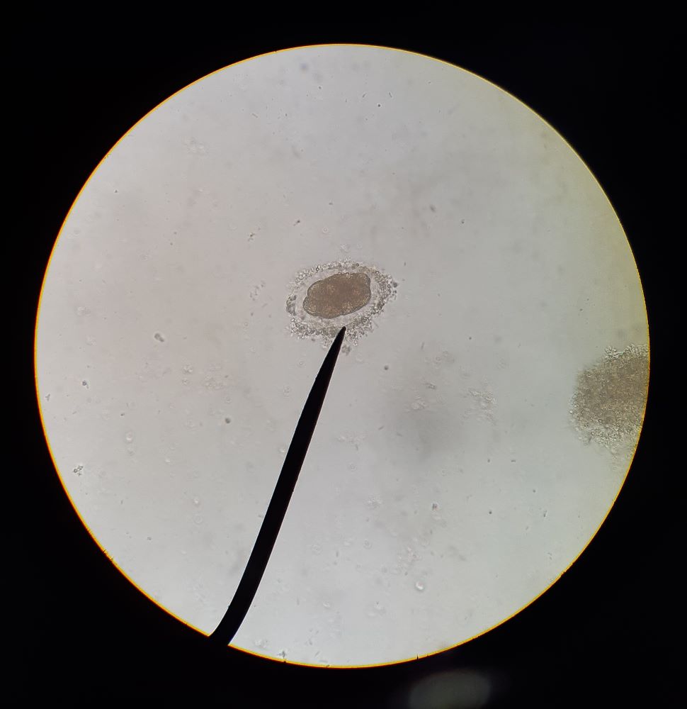
3 Give scientific name of this parasite
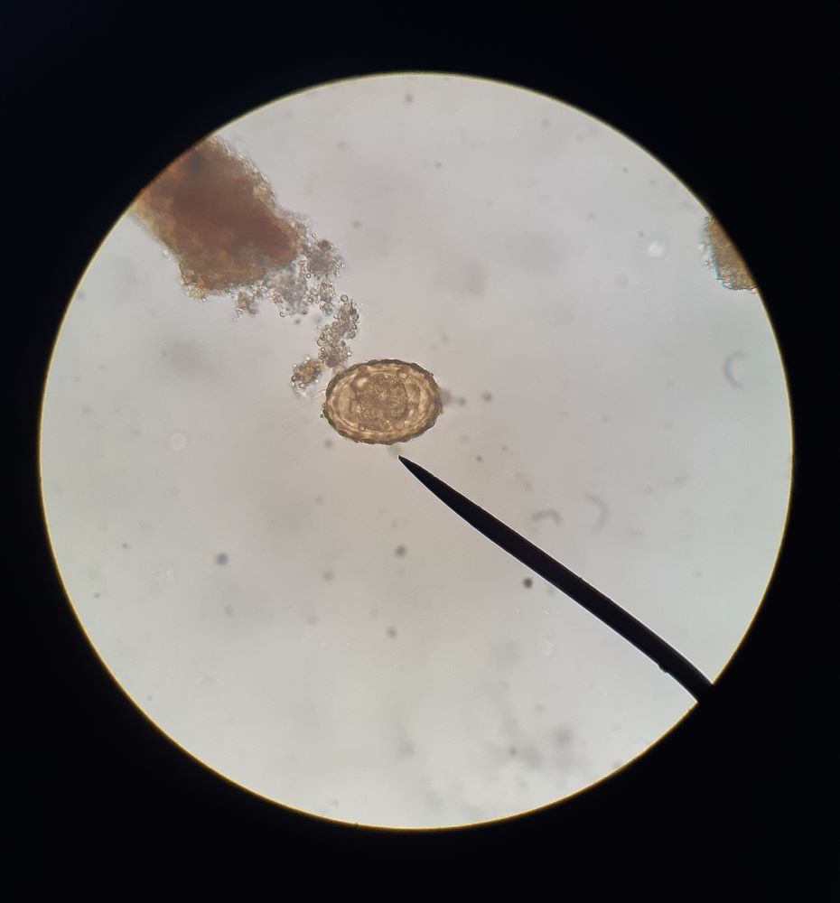
4 Give scientific name of this parasite
5 Give scientific name of this parasite
6 Give English common name of this parasite 
7 Give scientific name of this parasite
8 Give scientific name of this parasite
9 Give scientific name of this parasite
10 Give scientific name of this parasite
11 Give scientific name of this parasite
12 Give scientific name of this parasite
13 Give scientific name of this parasite
14 Give scientific name of this parasite
15 Give scientific name of this parasite
16 Give scientific name of this parasite
17 Give scientific name of this parasite
18 Give scientific name of this parasite
19 Give scientific name of this parasite
20 Give English common name of this parasite
21 Give scientific name of this parasite
22 Give scientific name of this parasite
23 Give scientific name of this parasite
24 Give scientific name of this parasite
25 Give scientific name of this parasite
26 Give English common name of this parasite
27 Give scientific name of this parasite
28 Give scientific name of this parasite
29 Give scientific name of this parasite
30 Give scientific name of this parasite
31 Give scientific name of this parasite
32 Give scientific name of this parasite
33 Give scientific name of this parasite
34 Give scientific name of this parasite
35 Give scientific name of this parasite
36 Give scientific name of this parasite
โอ้โห เก่งมากๆ ห้ะ! แค่นี้ก็ไม่รู้หรอ
คะแนน

0
จบควิซ หมดเวลาตอบคำถาม
ชั่วโมง นาที วินาที
00 00 00

คุณไม่สามารถตอบคำถาม
หรือแก้ไขคำตอบได้หลังจากหมดเวลา

คุณตอบไม่ทัน!
กดปุ่มด้านล่างเพื่อเล่นข้อถัดไป