Dek-D.com ใช้คุกกี้เพื่อพัฒนาประสบการณ์ของ
ผู้ใช้ให้ดียิ่งขึ้น เรียนรู้เพิ่มเติมที่นี่
ยอมรับ

แบบทดสอบเรื่อง Bacterial infection

โดย: MheeDoctor

ทำเพื่อ recall ความรู้ตัวเองขณะเป็น Intern ใครอยากทดสอบก็มาลองกันได้
ข้อไหนผิด ก็บอกกันได้...

คุณมีเวลาในการตอบคำถาม
ชั่วโมง นาที วินาที
00 40 00

ควิซทดสอบนี้มีการจำกัดเวลา
เมื่อเริ่มทดสอบแล้วจะไม่สามารถหยุดเวลาได้

กด "Like" เพื่อติดตามควิซเด็ดน่าเล่น
Dek-D's Quiz
กำลังคำนวณผลลัพธ์
เหลือเวลา
ชั่วโมง นาที วินาที
00 00 00
1 ข้อใดเป็นแบคทีเรีย Gram positive streptococcus 
2 Bacteria ในข้อใด มี M protein ที่สามารถ cross match กับเนื้อเยื่อหัวใจได้
3 จากรูป เกิดจากเชื้อ bacteria ในข้อใด
4 แบคทีเรียในข้อที่แล้ว ยังก่อให้เกิดโรคอื่นได้อีก ยกเว้น
5 ข้อใดถูกต้องเกี่ยวกับ ​Streptococcus pneumoniae 
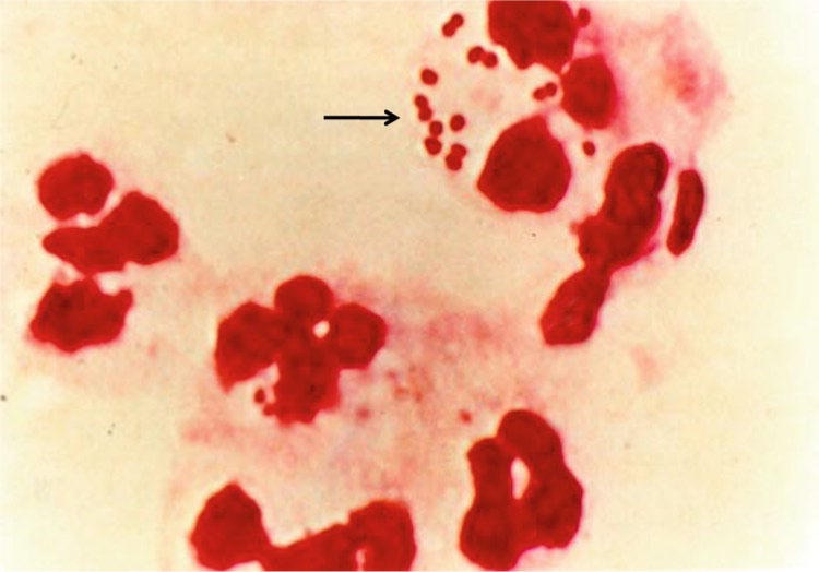
6 จากภาพ ตรงกับแบคทีเรียในข้อใด
7 จากข้อที่แล้ว เป็นลักษณะของแบคทีเรียใด จงระบุเป็นชื่อวิทยาศาสตร์
8 ข้อใดเป็นโรคที่เกิดจาก ​Bracillus anthracis
9 Bacteria ในข้อใดสัมพันธ์กับการกิน นม เนย หรืออาหารแช่แข็งที่ผ่านการฆ่าเชื้อไม่พอ
10 หญิง 79 ปี มาด้วยแผลบวมแดง มีถุงน้ำ ดังรูป คลำดูมี crepitation นำ discharge จากแผลไปย้อม Gram's stain ได้ Gram positive rectangular rod shape ดังรูป จง identify organism เบื้องต้น
11 จากข้อที่แล้ว จะให้ empirical bacteria ในข้อใด
12 Bacteria ในข้อ 10 ก่อโรคต่างๆ ยกเว้น ข้อใด
13 Bacteria ในข้อใด สัมพันธ์กับ Pseudomembranous colitis ที่เกิดจากการให้ Antibiotics นานๆ
14 ผู้ป่วยชาย 42 ปี มาด้วยเกร็งทั้งตัว แสยะยิ้ม High grade fever, Hyperreflexia, Lock jaw ถูกไม้ตำเท้าซ้ายเมื่อ 2 วันที่แล้ว ไม่เคยรับวัคซีนใดๆมาก่อน จง identify organism เบื้องต้น
15 ชาย 25 ปี multiple sexual partner มาด้วย purulent discharge at urethral meatus ส่งย้อม Discharge Gram's stain พบ Gram negative diplococci kidney shape organism จง identify organism เบื้องต้น
16 จากข้อที่แล้ว จงให้ empirical antibiotics 
17 เด็กหญิงอายุ 4 ปี มาด้วยไข้สูง ปวดหัว คอแข็ง ต่อมาซึมลง
ตรวจร่างกาย : Body temperature 39 C, Stiffneck positive, Kernig's sign positive, Skin พบดังรูป
​จง identify organism เบื้องต้น
18 จากข้อที่แล้ว ได้ทำ lumbar puncture ส่ง CSF ไปย้อม Gram's stain ได้ดังรูป
จะบรรยายลักษณะ organism ได้ตามข้อใด
19 ตัวเลือกใดไม่ใช่ Gram negative coccobacilli ทั้งหมด
20 ชาย อายุ 30 ปี มาด้วยแผลที่อวัยวะเพศ เจ็บ จึงนำ discharge จากแผลไปย้อม Gram's stain ได้ดังรูป จงระบุชื่อวิทยาศาสตร์ ของ organism
21 การติดเชื้อ Pasteurella ​มีสัตว์ในข้อใดเป็นพาหะ
22 โรค Tularemia มีสัตว์ในข้อใดเป็นพาหะ
23 แหล่งสะสมเชื้อโรคของ Legionella pneumophila ​คือข้อใด
24 ข้อใดก่อโรค Scrub typhus
25 Chlamydia trachomatis ​ก่อโรคต่อไปนี้ ยกเว้น
26 ข้อใดทำให้เกิด Traveler's diarrhea
27 ข้อความต่อไปนี้ หมายถึงเชื้อแบคทีเรียในข้อใด
ก่อโรค บิดไม่มีตัว มาด้วยถ่ายกระปริดกระปอย มีมูกเลือดปน อาจทำให้เกิด complication คือ toxic megacolon จนเกิด perforation
28 ข้อความต่อไปนี้ หมายถึงเชื้อแบคทีเรียในข้อใด
มักปนเปื้อนในไข่สัตว์ปีก ทำให้เกิดโรค typhoid บางทีเกิด Rose spot และเกิด ulcerated patch ในลำไส้ได้
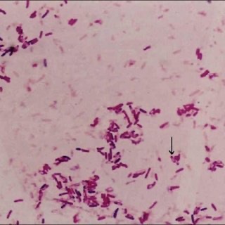
29 ชายในอายุ 58 ปี โรคประจำตัว เบาหวาน อาชีพ ชาวนา
มาด้วย ไข้ ไอเสมหะ นำเสมหะไปย้อม Gram's stain ได้ดังรูป
จงให้การวินิจฉัยเบื้องต้น
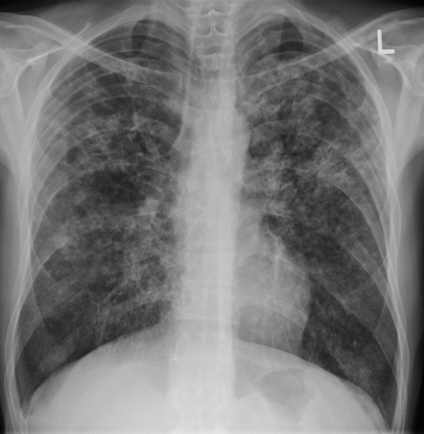
30 ชาย 45 ปี ไข้ ไอ เสมหะ หอบเหนื่อย นำ sputum นำไปย้อม AFB : พบ red bead-like organism ส่ง CXR ได้ดังรูป จงบอกชื่อ organism ก่อโรค เป็นชื่อวิทยาศาสตร์
จบควิซ หมดเวลาตอบคำถาม
ชั่วโมง นาที วินาที
00 00 00

คุณไม่สามารถตอบคำถาม
หรือแก้ไขคำตอบได้หลังจากหมดเวลา

คุณตอบไม่ทัน!
กดปุ่มด้านล่างเพื่อเล่นข้อถัดไป