Dek-D.com ใช้คุกกี้เพื่อพัฒนาประสบการณ์ของ
ผู้ใช้ให้ดียิ่งขึ้น เรียนรู้เพิ่มเติมที่นี่
ยอมรับ

Lab กริ๊ง! ทางการแพทย์ ดูปุ๊บ ตอบปั๊บ

โดย: E-lisa

รวมรูปภาพทางการแพทย์ที่เห็นปุ๊บ วินิจฉัยได้เลย เหมือนสอบ lab กริ๊ง

ในแต่ละข้อ คุณมีเวลาในการตอบคำถาม
ชั่วโมง นาที วินาที
00 00 30

ควิซทดสอบนี้มีการจำกัดเวลา
เมื่อเริ่มทดสอบแล้วจะไม่สามารถหยุดเวลาได้

กด "Like" เพื่อติดตามควิซเด็ดน่าเล่น
Dek-D's Quiz
กำลังคำนวณผลลัพธ์
0/10
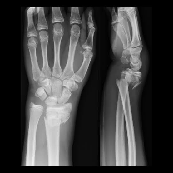
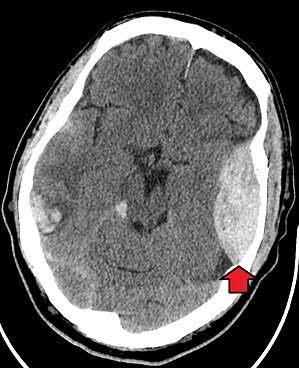
1 จงให้การวินิจฉัยในผู้ป่วยรายนี้
2  จงให้การวินิจฉัยในผู้ป่วยรายนี้
3 ​ จงให้การวินิจฉัยในผู้ป่วยรายนี้
4 จงให้การวินิจฉัยในผู้ป่วยรายนี้ จากคลื่นไฟฟ้าหัวใจ (EKG)
5  จงให้การวินิจฉัยในผู้ป่วยรายนี้
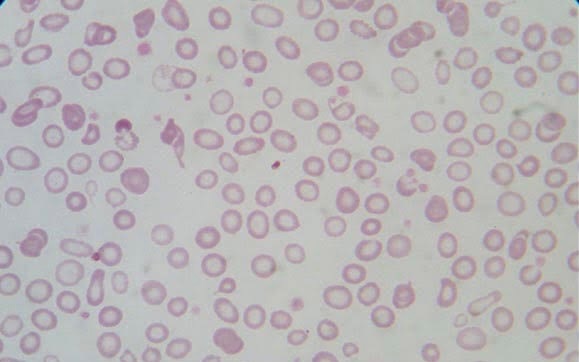
6 จงให้การวินิจฉัยในผู้ป่วยรายนี้ จากสไลด์ของเลือด
7 จงให้การวินิจฉัยในผู้ป่วยรายนี้
8 จงให้การวินิจฉัยในผู้ป่วยรายนี้
9 จงให้การวินิจฉัยในผู้ป่วยรายนี้
10 จงบอกชนิดงูต่อไปนี้
11 จงให้การวินิจฉัยในผู้ป่วยรายนี้
12 จงให้การวินิจฉัยในผู้ป่วยรายนี้
โอ้โห เก่งมากๆ ห้ะ! แค่นี้ก็ไม่รู้หรอ
คะแนน

0
จบควิซ หมดเวลาตอบคำถาม
ชั่วโมง นาที วินาที
00 00 00

คุณไม่สามารถตอบคำถาม
หรือแก้ไขคำตอบได้หลังจากหมดเวลา

คุณตอบไม่ทัน!
กดปุ่มด้านล่างเพื่อเล่นข้อถัดไป